SAĞLIK
okuma süresi: 2 dak.

Bilim insanları açıkladı: "İlgi görmeyen çocukların beyni küçülüyor"

Bilim insanları açıkladı: "İlgi görmeyen çocukların beyni küçülüyor"

ABD'de yapılan bir araştırma, ailesinden ilgi görmeyen çocukların beyinlerinin görenlere göre daha küçük olduğunu ve gelişimini tamamlayamadığını ortaya koydu.

Yayın Tarihi: 20/11/18 12:47
okuma süresi: 2 dak.
Bilim insanları açıkladı: "İlgi görmeyen çocukların beyni küçülüyor"
A- A A+

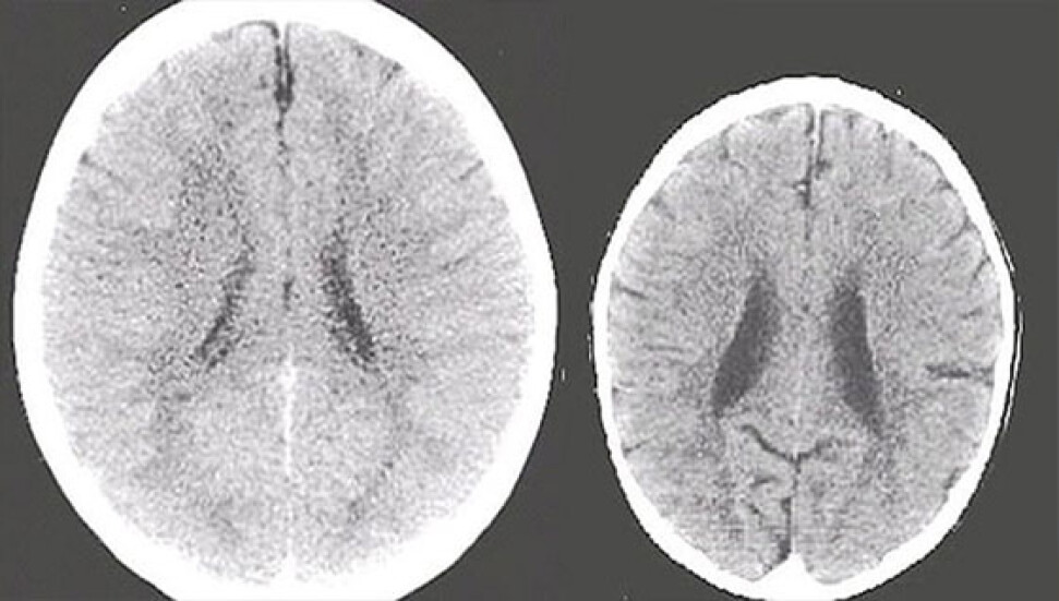
Teksas'taki Çocuk Hastanesi'nde Psikiyatri Bölümü'nde görevli Profesör Bruce D. Perry, ilgiyle büyüyen bir çocuk ile ilgisiz büyüyen bir çocuğun beyin gelişimi arasındaki farkı gözler önüne serdi.

Perry, yayınladığı makalede çocukların yetişme tarzının beyin gelişimi için kilit rolde olduğunu belirtti.

Bunu kanıtlamak için de ailesinin ilgisiyle büyüyen bir çocuk ile ilgisiz büyüyen 3 yaşındaki iki çocuğun beyin hareketlerini ve gelişimini gösteren tomografi sonuçlarını kullandı.

Perry, "Fotoğraflarda da görüldüğü gibi sol taraftaki beyin taraması, ailesinin ilgisiyle yetişen ortalama bir çocuk beyni. Öte yandan sağ tarafta ailesiyle zaman geçirmeyen ve ailesinin ilgisini görmeyen bir çocuğun beyninin taraması var. Bu çocuğun şiddet görmüş olabileceğini de tahmin ediyoruz. Bu taramalar sonucunda, sağ taraftaki çocuğun beyni yaşıtına göre daha küçük" dedi.

Perry, "Sağ taraftaki çocuğun beyninin yeteri kadar gelişmemesi gelecekte hastalıkların da habercisi. Bu durum genelde Alzheimer hastası olan yaşlı bireyylerde görülür. Bu çocuğun hafıza sorunu yaşaması çok olası. Öte yandan bu çocuğun bağlanma sorunları ve sosyal olarak izole bir hayat sürmesi oldukça mümkün" şeklinde konuşarak ailelere uyarıda bulundu.

#mesajınızvar
Levent ÖZADAM'dan
#mesajınızvar
Gözden Kaçmadı
#gozdenkacmadi

En güncel gelişmelerden hemen haberdar olmak için

Yorumlar

Dikkat!
Suç teşkil edecek, yasadışı, tehditkar, rahatsız edici, hakaret ve küfür içeren, aşağılayıcı, küçük düşürücü, kaba, müstehcen, ahlaka aykırı, kişilik haklarına zarar verici ya da benzeri niteliklerde içeriklerden doğan her türlü mali, hukuki, cezai, idari sorumluluk içeriği gönderen Üye/Üyeler’e aittir.